Pair of drugs ‘destroy 20% of melanomas’

By BBC Online
19 April 2016, 15:04 PM
UPDATED 19 April 2016, 21:12 PM

A fifth of people with advanced melanoma have no sign of tumours in their body after treatment with a pair of immunotherapy drugs, a study shows.

The first survival data on using ipilimumab and nivolumab in combination showed 69% of patients, in a trial on 142, were still alive after two years.

UK doctors leading the trial said the results were "very encouraging".

Melanoma, the most serious form of skin cancer, is the sixth most common cancer in the UK

It kills more than 2,000 people in Britain each year.

More studies on the emerging field of immunotherapy will be presented later.

Immunotherapy revolution

The immune system is a powerful defence against infection. However, there are many "brakes" built in to stop it attacking our own tissues.

Cancer - which is a corrupted version of healthy tissue - can take advantage of those brakes to evade assault.

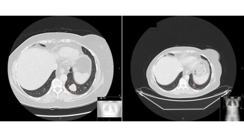
Melanoma_1.jpg
Melanoma before and after therapy. Photo: BBC/ Royal Marsden

Ipilimumab and nivolumab are designed to cut the brakes.

Both have become standard therapies in melanoma, but most researchers believe combination therapy will be essential.

The trial showed the survival rate after two years for ipilimumab alone was 53% and no patient's tumours had completely disappeared.

The equivalent figures for combination therapy were 69% and 22%.

However, more than half of patients had severe to life-threatening side effects which stopped their treatment.

Dr James Larkin, who ran part of the trial at the Royal Marsden Hospital in London, told the BBC News website: "It is very encouraging to see that survival rate.

"It will be important in terms of working out the benefit of these treatments in the longer term, but nevertheless it's a relatively small study still."

A much larger trial involving nearly 1,000 patients has already started releasing data, but has not run for long enough to produce survival figures.

Vicky Brown, 61 and from Cardiff, was diagnosed with malignant melanoma that had spread to her lungs and breast in April 2013.

She started the combination therapy later that year.

"It worked within a month. There were lumps I could actually feel and they disappeared quite quickly," she told the BBC.

She did face severe side effects including an upset liver and inflamed bowels and a year later the cancer returned.

She is now on her second course of combination immunotherapy, which again seems to have shrunk the tumours.

"My granddaughter is now coming up to four and I now have a second grandchild and not to have been part of their lives would have been heartbreaking, so I'm really thankful," she added.

Historically, when a treatment fails and a cancer starts to grow again then that drug has become useless. But Dr Larkin thinks "we're dealing with something different here".

He added: "This combination of drugs alters the balance of immune system, two years down the line the immune system might have stopped recognising the tumour.

"To me it is extremely encouraging that giving the combination again we can reintroduce recognition by the immune system - it is like a booster dose."

Both drugs were developed by Bristol-Myers Squibb.

Prof Richard Marais, from Cancer Research UK, said the results were "exciting" and "offer new hope to melanoma patients and their families".

However, he added: "It's important to remember that there's an increased likelihood of severe side effects when these drugs are combined.

"We need to identify which patients are most likely to benefit from this combination and also which patients are most likely to experience the side effects.

"That will help doctors to ensure each patient gets the best treatment they need."