Apollo Hospitals Dhaka successfully operated a case of haemangioblastoma
A 33 year old Bangladeshi man was working abroad. He had a happy life. However, two months ago he started to have some problems. He was having numbness on the left side of his face, neck and upper limbs. The numbness progressed to the left side of the entire body. A month later he noticed some weakness on the left side of the body, which rapidly progressed to the right side.
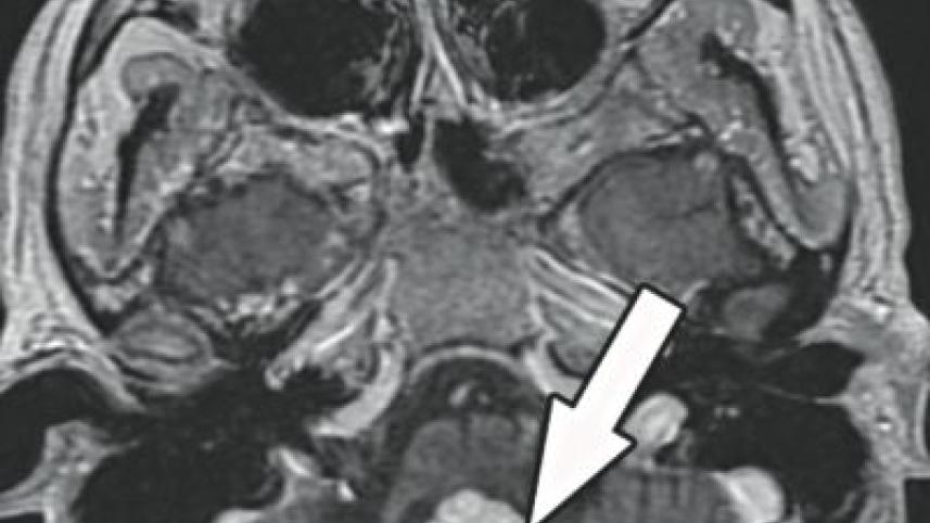
A Magnetic Resonance Imaging (MRI) scan of brain was done. It showed a tumour in the medulla, which is a part of brainstem. He started preparing for a medical consultation and was admitted in a nursing home. Very soon he became bedridden and he lost the ability to swallow food and even his saliva. A nasogastric tube was inserted to feed him. In just a matter of two months, he became completely bedridden from a fully active young man. The future was dark for the family.
They were in search of a neurosurgeon who could operate the tumour in the brainstem. Brainstem is the most difficult part of the brain to operate upon. This is the point of all vital centres of the brain. This area controls movement of the limbs and face, sensation of the body and face, consciousness, balance of the body, swallowing, heartbeat, respiration and blood pressure etc. The family was at a fix where they should go. They got reference of Dr Amitabha Chanda, who is among the few surgeons with an experience of operating on brainstem.
The tumour was suspected to be a haemangioblastoma. Haemangio-blastomas are tumours of the central nervous system that originate from the vascular system usually during the middle age. Sometimes these tumours occur in other sites such as the spinal cord and retina. The tumours are extremely vascular, that means they bleed a lot during operation.
The operation was particularly risky and difficult as the tumour was inside the brainstem. The tumours touching or compressing the brainstem can be devastating. However, in this case you need to incise the brainstem, get inside and take the tumour out. A little bit of unsteady movement can put the patient in permanent coma or paralysis of all limbs, inability to swallow or even death.
The patient and his family were counselled about the operation and they were explained that there is no treatment other than operation, although the operation was extremely risky. They agreed and went for the operation.
The patient recovered well from anaesthesia. He was kept in the Intensive Care Unit (ICU). The limb power started improving from the first post-operative day. After a few days, his swallowing reflex came back and he started taking food orally. After about 12 days he started walking with support. Post-operative Computed Tomography (CT) scan showed complete resection of the tumor. When he came to for follow up, he was ambulatory without any kind of help.
Comments